pCASL

MR Clinical application

Find similar products

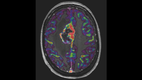
pCASL (pseudo-Continuous Arterial Spin Labeling) enables you to visualize brain perfusion and functional physiology in a non-contrast manner with low distortion* and full brain coverage.

  • * Due to compatibility with dS SENSE

You are about to visit a Philips global content page

Continue

You are about to visit a Philips global content page

Continue

Our site can best be viewed with the latest version of Microsoft Edge, Google Chrome or Firefox.

Olete sisenemas Philips HealthCare Eesti veebilehele.
Please select the checkbox

Veebilehel esitatud teave on mõeldud ainult isikutele, kes kasutavad meditsiiniseadmeid oma majandus- ja kutsetegevuses, sealhulgas tervishoiutöötajatele, tervishoiuteenuse osutajate esindajatele ning meditsiiniseadmetega oma majandus- ja kutsetegevuse raames kauplevatele isikutele. Veebilehel esitatud teave ei ole mõeldud meditsiiniliste nõuannete, ravijuhiste ega mistahes muude tervishoiualaste soovituste või suuniste andmiseks.

Kas olete isik, kes vastab ülaltoodud kriteeriumidele?